当ホームページにアクセス頂きありがとうございます。
豊明市の二村台交差点歯科院長の小島です
だいぶ暑くなってきましたね。果物もおいしいものが徐々に出てきましたね。
みなさまのお子様たちも美味しい物を召し上がるのを楽しみにしていると思いますが、
虫歯があると美味しく食べられないですよね。
そこで、お子様には特に有効な虫歯にならないように予防する方法があります。
みなさんはシーラントをご存知でしょうか。
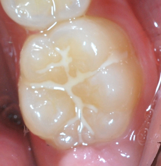
シーラントとは、歯の噛み合わせの面の溝に白い樹脂を一層流して固める処置のことをいいます。
この記事の写真みたいな感じになります。
特にお子様の乳歯や奥歯の永久歯の溝は形が複雑であったり、深さも深い場合がほとんどです。
どんなに歯磨きを頑張っても、どうしても溝の隙間に汚れが残ってしまうんですね。
シーラントを行なう事で、溝に汚れが溜まりにくくなるので虫歯を効果的に予防することができます。
シーラントは小児歯科では非常に重要視されていて、有効な手段です。
特に最近のシーラントはフッ素が含まれていますので、歯の表面を強化してくれます。
しかし、シーラントをしたからといって虫歯にならないという訳ではありません!
あくまでも予防的なものなので、日頃からのブラッシングやフッ素の使用など予防をすることが大切です。
気になる方はぜひ一度ご来院ください。
今週も頑張りましょう!










